部門紹介|診療部
放射線科
部門紹介|診療部
MRIをはじめとしたX線等を利用した画像診断に関する業務を行っております。
X線を利用して体内の骨や組織、臓器などの透過像を画像にして観察する検査です。
X線とコンピュータを使い人体各部の横断像(輪切り像)を画像にします。脳、肺、肝臓、筋肉等のあらゆる部位・臓器の小さな病変を診断することができます。




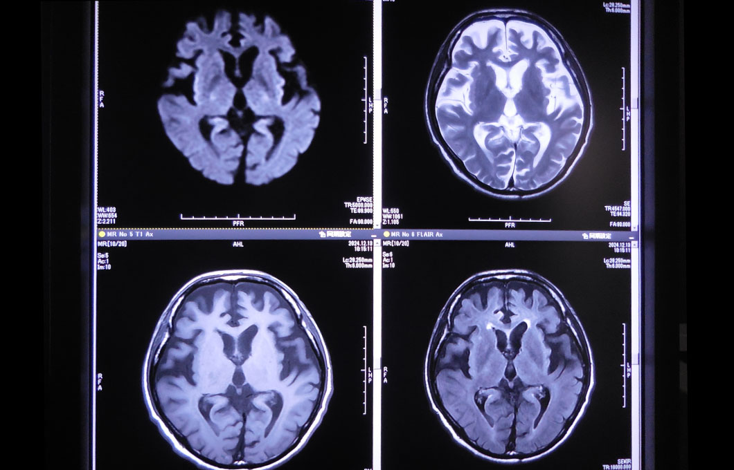
磁気共鳴画像といい、患者さまにトンネル内にある大きな磁石の中に入っていただき、磁気を利用してさまざまな断層像を写し出すことにより、より細やかな診断ができます。この検査の特徴は、X線を使用しないため放射線による被ばくがないことです。



